Um estudo publicado no The New England Journal of Medicine mostrou um caso raríssimo em que um bebê colocou as pernas para fora do útero da mãe durante o desenvolvimento. O ocorrido vai contra a natureza dos mamíferos em que durante o desenvolvimento embrionário o órgão vai se dilatando e desenvolvendo ao longo da gravidez a fim de abrigar a criança.
Os médicos relataram que a gestante, de 33 anos, não apresentou qualquer sintoma aparente de que algo estivesse errado. Contudo, durante um ultrassom de rotina, os médicos observaram o caso surpreendente.
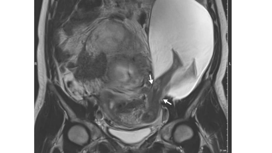
O bebê, às 25 semanas de gestação, causou um rompimento no útero da mãe, esticando suas pernas para a cavidade abdominal. Uma ressonância magnética posterior mostrou que o útero sofreu uma ruptura de 2,5 centímetros. Estimativas mostram que apenas 0,5% de todos os casos de gravidez podem apresentar essa eventualidade.
Esse tipo de ruptura pode ter graves consequências, levando-se em consideração a proximidade do bebê de órgãos vitais da mãe. Apesar disso, todavia, 5 semanas após o diagnóstico, a mãe passou por outra cirurgia cesariana.
O bebê nasceu saudável com 1,4 Kg e não houve complicações nos seis meses seguintes em que o estudo acompanhou ambos. Logo após o nascimento do bebê, a mãe passou por uma cirurgia de reparo do útero para o fechamento da fissura.
Possível causa
A mãe em questão, que teve sua identidade preservada, já havia passado por outras cinco cirurgias cesarianas. Os médicos acreditam que, apesar da raridade do evento, os processos cirúrgicos no útero podem ter deixado o tecido enfraquecido.
Para mais conteúdo, siga o Manual da Mamãe no Instagram @manualdamamae
Acesse também nossa página no Youtube: youtube.com/manualdamamae
Você pode contar também com o curso Estou Grávida, e Agora? São videoaulas para acabar com todas as inseguranças da gestação e dos primeiros cuidados com o bebê. Saiba mais em: www.manualdamamaeip.com


